中文  |  English

2025年, 第44卷, 第12期 刊出日期:2025-12-22
  

  • 全选
    |
  • 菌物学报. 2025, 44(12): 1.
    摘要 ( ) PDF全文 ( )   可视化   收藏
  • 综述
  • 陈安欣, 李东明
    摘要 ( ) PDF全文 ( ) HTML ( )   可视化   收藏

    链格孢霉可引起人类多系统感染,其中皮肤和皮肤结构感染(皮肤链格孢霉病)类型繁多,容易误诊。系统研究链格孢属真菌所致感染类型及其种群类型,了解其药物敏感性非常重要。通过检索Pubmed、万方数据库及中国期刊全文数据库中的病例报告建立数据库进行描述性分析。共获取2010年至2022年58篇文献,涉及74例患者。危险因素主要有因器官移植、血液系统恶性疾病、外伤史、职业暴露等。感染涉及10个致病种,其中主要致病种为侵染链格孢Alternaria infectoria类群(33.8%),包括A. anthropophilaA. atrobrunneaA. guarroi,以及交链格孢A. alternate (28.4%)。少见的致病种有气生链格孢A. arborescens、厚孢链格孢A. chlamydospora、玫瑰链格孢A. rosae、细极链格孢A. tenuissima、小麦链格孢A. triticina等。感染类型以皮肤增生性损害为主要表现,主要涉及结节、肿瘤、斑块、丘疹等。组织病理以肉芽肿为主要特征。治疗以唑类药物为主,临床株已出现对伊曲康唑、伏立康唑等唑类药物耐药现象。皮肤链格孢霉病可模拟多种疾病,合并免疫抑制或深部组织感染者预后差,临床需引起重视。

  • 黄美林, 齐博玲, 洪南, 陈敏
    摘要 ( ) PDF全文 ( ) HTML ( )   可视化   收藏

    隐球菌感染常导致致命性的隐球菌脑膜脑炎,其主要的病原体是新生隐球菌菌种复合体(Cryptococcus neoformans species complex, CNSC)和格特隐球菌菌种复合体(Cryptococcus gattii species complex, CGSC)。目前已发现8个以上的隐球菌谱系,这些谱系在地理分布和毒力特征上存在明显差异。本文详细分析了用于隐球菌研究的各种分子分型方法,包括血清学分型、多位点酶电泳、脉冲场凝胶电泳、随机扩增多态性DNA、限制性片段长度多态性、PCR指纹图谱、扩增片段长度多态性、多位点微卫星分型、多位点序列分型、质谱鉴定以及全基因组测序技术。未来,质谱鉴定、全基因组测序等新型分子标记技术联合人工智能机器学习策略不仅将帮助我们理解隐球菌的流行病学特征和进化历史,还能揭示其系统发育模式,谱系起源中心及其传播方式和在患者体内发生的微进化突变,对提高隐球菌病等侵袭性真菌感染的临床精准诊治水平具有重要意义。

  • 研究论文
  • 罗浩文, 李东明
    摘要 ( ) PDF全文 ( ) HTML ( )   可视化   收藏

    银屑病是一种慢性、复发性、难以治疗的皮肤病。由于皮肤屏障功能降低,真菌通常可以从银屑病受损组织中分离出来。随着免疫抑制剂,特别是生物制剂在银屑病治疗中的广泛使用,银屑病患者真菌感染的发生率也在增加。其在银屑病发生、发展和预后中的作用尚不清楚,感染真菌的种类多样性也缺乏系统的认识。本文系统地回顾和分析了Medline和中国文献数据库中的相关文献,全面总结了银屑病患者真菌感染的属种特征及其对疾病负担的影响。银屑病涉及皮肤真菌感染的种类包括念珠菌属、毛癣菌属、曲霉属、马拉色菌属、赛多孢霉属、着色霉属、组织胞浆菌属、隐球菌属、毛霉属、肺孢子菌属,以及新近报道的镰孢霉属、匍柄霉属等,它们在诱导、加重和影响疾病预后方面发挥作用,甚至模拟银屑病。因此,建议银屑病患者在开始免疫抑制治疗之前,特别是在使用TNF-α抑制剂、IL-17抑制剂、甲氨蝶呤之前,进行真菌感染的常规筛查。

  • 胡伟, 徐可欣, 车頔, 蒋燕萍
    摘要 ( ) PDF全文 ( ) HTML ( )   可视化   收藏

    本研究拟验证须癣毛癣菌Trichophyton mentagrophytes临床分离株通过同宗配合的有性生殖方式提高宿主适应性。分离自3岁男童头皮脓癣的临床分离株JYP23487纯化后ITS测序鉴定为须癣毛癣菌,此菌呈现绒毛型和颗粒型两种表型,并存在自交现象。纯化不同表型并扩增其交配基因的MAT1-1-1MAT1-2-1片段,比较基因序列峰值图并参考含有MAT1-1-1基因位点的须癣毛癣菌及其亲缘物种数据构建网络图进行单倍型分析。比对发现颗粒型菌株JYP23487k的MAT1-1-1序列在须癣毛癣菌复合体种群内常见单核酸多态性位点处存在碱基双峰,确认颗粒型菌株属于杂合菌株。MAT1-1-1基因的单倍型分析显示30株须癣毛癣菌及其亲缘物种分成4种单倍型,杂合菌株JYP23487k对应单倍型网络图中Hap 1型与Hap 2型的虚拟交叉节点位置。该杂合菌株的发现填补了种群内进化中间型的缺失,支持单倍型分析的遗传连续性。杂合现象证明须癣毛癣菌不仅通过无性生殖定殖并感染人体,还可通过同宗交配的有性生殖策略探索宿主转移的可能性以适应不同生存环境。

  • 肖涵, 张公杰, JOS Houbraken, 孙婷婷, 陈泽, 李东明
    摘要 ( ) PDF全文 ( ) HTML ( )   可视化   收藏

    真菌菌种鉴定是医学真菌研究,特别是病原真菌诊断和治疗的基石。随着临床真菌病原体种类和数量的增加,形态学鉴定无法满足精准鉴定的要求。DNA条形码是基于特定短基因片段快速鉴定物种的技术,能够实现临床致病菌,特别是新分离菌种的精准鉴定。本研究结合了形态学和DNA条形码技术,通过形态学表型联合多基因位点系统发育分析对分离自皮肤及皮肤结构真菌感染患者的35株青霉属菌株进行了种水平的精准鉴定,结果显示,35株临床分离青霉分属于9个种,分别是葱青霉Penicillium allii-sativi、橘灰青霉P. aurantiogriseum、短密青霉P. brevicompactum、产黄青霉P. chrysogenum、皮落青霉P. crustosum、扩展青霉P. expansum、墨西哥青霉P. mexicanum、波兰青霉P. polonicum和红青霉P. rubens。其中,葱青霉P. allii-sativi和墨西哥青霉P. mexicanum是首次确认在中国分布的新记录种,也是国内外从临床样本中首次发现的致病菌种。本研究表明,形态学结合DNA条形码技术能够实现青霉在种水平上的精准鉴定,有望成为临床分离青霉及其他致病真菌种水平鉴定的一线方法。

  • 李俊成, 胡静, 陈甜, 周晔, 张恒, 孙毅
    摘要 ( ) PDF全文 ( ) HTML ( )   可视化   收藏
    米诺环素(MIN)是第二代半合成四环素类抗生素,同时联合唑类表现出良好协同抗烟曲霉作用。ABCM (GenBank ID:AFUA_4G09150)基因表达为ABC转运蛋白。本研究通过敲除烟曲霉ABCM基因,成功构建敲除株ΔABCM。通过体外药敏实验标准M38-A3和纸片法观察敲除株ΔABCM与野生株WT在MIN与三唑类联合治疗烟曲霉的敏感性变化。结果显示,敲除ABCM基因后,MIN与泊沙康唑(POS)协同效果消失[WT的分数抑制浓度指数(FICI)=0.156 vs. ΔABCM的FICI= 0.625]。纸片扩散法结果显示,MIN与POS联合时,敲除株ΔABCM的抑菌圈小于野生株WT,差异有统计学意义(P<0.05)。这表明,ABCM基因缺失使得MIN与POS的协同作用消失。进一步研究表明:与野生株WT相比,MIN-POS治疗敲除株ΔABCM产生的活性氧显著降低,差异具有统计学意义(P<0.05)。MIN联合POS时,敲除株ΔABCM的罗丹明6G荧光强度高于WT,差异具有统计学意义(P<0.05)。与WT相比,敲除株ΔABCM对氧化剂甲萘醌的耐受性增强。以上研究结果说明ABCM基因可能是MIN与POS的协同抗真菌作用的靶点之一,该基因删除破坏了MIN与POS的协同效果,且ABCM基因表达可能降低对外界抵抗力。本研究深化了MIN与唑类协同抗真菌的机制研究,为阐释烟曲霉的耐药机制提供了新的理论基础。
  • 袁明珠, 朱玉堂, 张婕, 李晓彤, 孙毅, 高露娟
    摘要 ( ) PDF全文 ( ) HTML ( )   可视化   收藏

    本研究探讨了基因ABCB1 (ATP-binding cassette、subfamily B、member1、GenBank ID:20312659)在皮炎外瓶霉中的生物学功能,重点关注其在真菌生长和药物敏感性中的作用。通过构建ABCB1基因敲除株并比较其与野生株的生长、药物敏感性、药物外排及ATP含量变化,发现ABCB1基因可能属于ABC转运蛋白家族中的MDR/TAP亚家族,参与营养物质吸收和药物外排过程。敲除株表现出生长速度减缓、菌丝及分生孢子数目减少、对唑类药物敏感性增强、药物外排能力降低及ATP含量减少。研究结果表明,ABCB1基因在皮炎外瓶霉的生长和耐药性中发挥重要作用,为开发抗真菌药物提供了潜在靶点。

  • 史盼成, 徐金平, 王路, 苏玲, 邓淑文, 张璐
    摘要 ( ) PDF全文 ( ) HTML ( )   可视化   收藏
    真菌感染早期无特异性,诊断困难。组织病理学是诊断侵袭性真菌病的“金标准”,为探讨组织病理检查在临床真菌感染诊断中的价值及临床应用现状,本研究回顾性分析2015年至2025年间苏州2家三级医院68例病理拟诊真菌感染病例,分析因素包括预期临床诊断与病理结果的一致率、病理报告真菌类型及标本来源、标本类型等。另外,选取胃、肺及皮肤组织进行HE染色和真菌特殊染色(PAS和GMS),比较这3种染色方法对真菌的识别差异。结果显示,68例病理诊断真菌感染标本,临床拟诊为真菌感染仅8.8% (6/68)。病理中疑似真菌感染占11.8% (8/68),符合真菌感染占比88.2% (60/68),其中真菌属水平鉴定占23.5% (16/68),包括12例耳鼻喉标本和2例肺组织标本报告为曲霉属,1例肺组织标本报告为隐球菌属,1例皮肤标本报告为马拉色菌属。64.7% (44/68)标本来自耳鼻喉科,其次是普外科14.7% (10/68),真菌检出率在耳鼻喉和肺组织标本中较高。耳鼻喉标本中,89.7% (35/39)未以临床预期真菌感染送检。10例肺组织标本,均未以临床预期真菌感染送检。68份送检标本,在常规苏木精-伊红(hematoxylin-eosin, HE)染色基础上,仅4例(4/68, 5.9%)进行真菌特殊染色,即过碘酸-希夫(periodic acid-Schiff, PAS)染色。本研究比较3种染色方法,表明PAS和GMS能将真菌成分染成红色和褐色,更易识别,可减少漏诊风险,强调了真菌特殊染色的重要性,呼吁临床医生重视组织病理学检测对真菌感染诊断的重要性,以提高真菌感染的诊治水平。
  • 崔寅玲, 白永晟, 陈媚, 秦绪艳, 郑玮清
    摘要 ( ) PDF全文 ( ) HTML ( )   可视化   收藏

    疣状瓶霉感染可致暗色丝孢霉病和着色芽生菌病,皮损常表现为黑色肿物,诊断治疗极为棘手,尤其是在免疫低下患者中。现报道1例肾移植术后患者感染疣状瓶霉所致暗色丝孢霉病。患者男,66岁,农民,右手外侧斑块4月。肾移植术后15年,长期口服他克莫司、吗替麦考酚酯和泼尼松等免疫抑制类药物。组织病理检查:组织内大量炎症细胞及多核巨噬细胞浸润,棕色的圆形厚壁孢子及棕色分隔菌丝。葡萄糖蛋白胨琼脂培养基养出黑色绒毛状菌落,镜下见暗色分枝分隔菌丝,小培养见花瓶样产孢结构,瓶梗呈烧瓶或椭圆外形,分生孢子椭圆,瓶口孢子成团聚集犹如花朵。形态学特征符合疣状瓶霉。诊断为暗色丝孢霉病。治疗:口服伊曲康唑,免疫抑制剂他克莫司减量。6月后手部皮损基本消退。暗色真菌疣状瓶霉感染的皮损常呈黑色,临床常误诊为恶性黑色素瘤,及时发现致病菌、抗真菌治疗是治疗成功的关键,同时肾移植患者免疫抑制剂应相应减量。

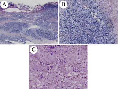
  • 胡怡, 李群燕, 杨国靖, 刘栋, 顾安康, 张宇
    摘要 ( ) PDF全文 ( ) HTML ( )   可视化   收藏

    报告1例皮肤播散型孢子丝菌病,患者男性,65岁,四肢破溃伴渗出3月余。溃疡边缘呈潜行性破坏,周围可见红晕,溃疡基底较多脓性分泌物,伴剧烈疼痛。组织病理结果显示,感染性肉芽肿。真菌培养及分子生物学鉴定为球形孢子丝菌。诊断为皮肤播散型孢子丝菌病。